г. Москва, Гурьевский проезд д.25, корпус 1
Пн-Вс: 10:00-21:00  info@dentalmos.ru
Циркониевые коронки на зубы

Циркониевые коронки на зубы

У нас работают только высококвалифицированные специалисты с большим стажем. Работаем без выходных с 10 утра до 9 вечера. Ждем вас на прием!

Записаться

Циркониевые коронки на зубы

Один из самых распространенных современных методов протезирования – это установка безметалловой  коронки на зуб. Хотя в современной стоматологии применяются и другие протезы: виниры (для эстетической реставрации), и вкладки (для восстановления при потере большого объема твердых тканей) – коронки по-прежнему остаются очень востребованными. На сегодня есть несколько их видов, а наиболее надежный и качественный – это коронка из диоксида циркония. Как она выглядит, чем отличается от остальных и сколько стоит – мы ответим на все самые важные вопросы.

Что такое диоксид циркония?

Это белый материал с химической формулой ZrO2 – кристаллический оксид циркония, который в естественной форме встречается в виде минерала бадделеита. То есть первое, ключевое отличие от классической металлокерамической коронки на зуб – это отсутствие металлов и их сплавов в составе протеза. Вот почему это важно:

Это наиболее безопасный материал для протезирования, наряду с титаном.

Также после добавления небольшого процента иттрия диоксид циркония приобретает отличные термические, механические и электрические свойства:

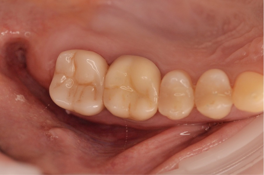
высочайшую прочность, что позволяет циркониевой коронке выносить самые серьезные жевательные нагрузки – а это особенно важно при создании коронки на жевательный зуб,

очень длительный срок службы – при правильном уходе он достигает 20-25 лет, т.е. ортопед проводит восстановление зуба на долгие годы,

не возникает эффекта гальванизации, на который иногда жалуются пациенты при установке коронки с металлокаркасом.

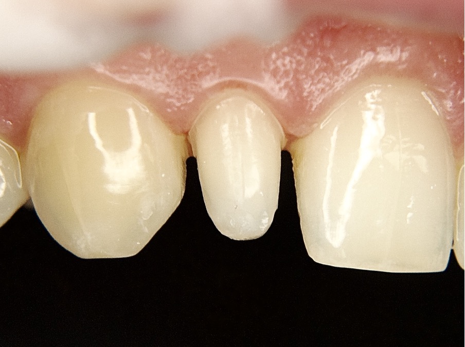
Диоксид циркония – это материал белого цвета, а потому из него можно изготовить даже коронку на передний зуб. Под ней не будет просвечивать темный каркас, как в случае с металлокерамикой.

Виды циркониевых коронок

Есть две разновидности таких протезов:

  1. цельноциркониевая коронка на зуб – вырезается методом фрезерования из цельного блока циркония, а затем раскрашивается. Белый цвет материала служит своего рода холстом, на который зубной техник наносит краски для полного эстетического восстановления зуба,
  2. циркониевая коронка с керамической облицовкой – из циркония изготавливается только каркас, который затем покрывают керамикой, подобранной под естественный тон зубов пациента.

Какую коронку поставить – решает стоматолог-ортопед, исходя из состояния полости рта и места установки. Для зоны улыбки используются протезы с керамической облицовкой, а коронка на жевательный зуб зачастую цельная и раскрашенная.

И тот, и другой вид в нашей клинике в Москве устанавливается под ключ. Это значит, что все манипуляции по созданию и установке коронки включены в сумму, которую врач называет пациенту по итогам осмотра и диагностики, без переплат или дополнительных расходов.

Установка циркониевой коронки на зуб

Для этого необходимо пройти ряд этапов, которые в целом не отличаются от протезирования коронкой из керамики или металлокерамики.

  1. Осмотр, диагностика, консультация – для того, чтобы поставить циркониевую коронку на зуб нужны определенные показания. Чаще всего это потеря более чем 50% твердых тканей вследствие:
    1. серьезных травм зуба,
    2. значительного кариозного поражения,
    3. лечения такого осложнения кариеса как пульпит, что подразумевает удаление нервно-сосудистого пучка из пульпы. После этого зуб становится более хрупким, и для его защиты необходимо поставить коронку.
  2. Проведение лечения перед протезированием (эти процедуры не входят в цену коронки).
  3. Запись на подготовку к изготовлению коронки – для этого ортопед обтачивает зуб и выполняет снятие слепков с челюстей с помощью силиконовой массы или проводится сканирование челюстей, в случае наличия у пациента рвотного рефлекса. Даже для создания коронки на 1 зуб нужны полные слепки обеих челюстей или сканирование зубных рядов.
  4. Установка временной коронки – для защиты обточенного зуба, восстановления эстетики и поддержки жевательных функций.
  5. Изготовление коронки из диоксида циркония в зуботехнической лаборатории по слепкам или сканам, которые передал техникам ортопед. Это занимает от 5-7 рабочих дней для одного протеза.
  6. Установка коронки. Нужно записаться на повторный прием, во время которого ортопед снимет временный протез, примерит постоянный и, если пациенту все понравится, то проведет установку циркониевой коронки на зуб:
    1. удаление остатков временного цемента,
    2. фиксация протеза на специальный стоматологический цемент,
  7. Завершается установка коронки на зуб удалением излишков цемента и тестом на зубной нити – она должна проходить между зубами, но достаточно плотно. Это указывает на правильные контакты между боковыми поверхностями и исключает попадание частичек пищи между зубом и протезом.

Изготовление коронки из диоксида циркония под ключ в нашей клинике 43 000р. ( Обточка зуба, изготовление временной коронки, получение оттисков/сканов, изготовление временной коронки и фиксация )

Есть ли недостатки у циркониевых протезов?

У коронок из циркония есть только два минуса:

Уход за коронками

Тем не менее, эти минусы компенсируются прочностью, безопасностью, надежностью и длительным сроком службы, который может увеличиться при соблюдении правил ухода за протезами:

  1. чистка щеткой и пастой 2 раза в день, утром и вечером, по 2-3 минуты,
  2. из дополнительных средств ухода желательно использование ирригатора, который будет вымывать струйкой воды остатки пищи и налет из недоступных для щетки мест,
  3. посещение стоматологической клиники раз в 6 месяцев для проведения комплексной профессиональной гигиены. В ходе этой процедуры врач удалит не только наддесневые отложения налета, но и поддесневые, которые нельзя убрать дома щеткой и ирригатором.

Цены

Протезирование. Взрослое отделение

  • Снятие оттиска силиконовой массой 2-х слойный 2000 рублей
  • Индивидуальная ложка (оттиск функциональный силиконовой массой) 5000 рублей
  • Диагностическая модель 2100 рублей
  • Предварительное восковое моделирование (Wax-ap) -1 ед 2000 рублей
  • Использование артикулятора при изготовлении протеза/Определение вида смыкания зубных рядов с помощью лицевой дуги) 5000 рублей
  • Коронка временная (оттиск+фиксация) 2700 рублей
  • Коронка временная (прямой метод) 5000 рублей
  • Временная пластмассовая коронка армированная 7000 рублей
  • Культевая вкладка штифтовая разборная 8000 рублей
  • Культевая вкладка цельнолитая 7000 рублей
  • Культевая вкладка на основе диоксид циркония 15000 рублей
  • Керамическая эстетическая реставрация зуба IPS e.max типа Inlay/Onlay/Overlay 30000 рублей
  • Керамическая эстетическая реставрация зуба IPS e.max типа Inlay/Onlay/Overlay (премиум) 40000 рублей
  • Коронка Е.max 28000 рублей
  • Съёмный пластиночный протез 27000 рублей
  • Съёмный пластиночный протез (премиум) 50000 рублей
  • Металлокерамическая коронка (стандарт) 16000 рублей
  • Металлокерамическая коронка (премиум) 25000 рублей
  • Металлокерамическая коронка с плечевой массой 20000 рублей
  • Керамическая коронка на основе диоксид циркония (стандарт) 28000 рублей
  • Керамическая коронка на основе диоксид циркония (премиум) 45000 рублей
  • Винир керамический (1ед) (стандарт) 28000 рублей
  • Винир керамический (1ед) (премиум) 45000 рублей
  • Пластиночный протез (Акри-Фри/нейлоновый) 40000 рублей
  • Временная коронка с опорой на имплант 10000 рублей
  • Временная коронка с опорой на имплант через лабораторию 15000 рублей
  • Металлокерамическая коронка с опорой на имплант 37000 рублей
  • Керамическая коронка на основе диоксида циркония с опорой на имплант 50000 рублей
  • Починка съемного протеза 5000 рублей
  • Снятие металлокерамической коронки 2000 рублей
  • Снятие штампованной коронки 1500 рублей
  • Расходный материал при изготовлении коронки на имплантате Dentium 7000 рублей
  • Расходный материал при изготовлении коронки на имплантате Astra, Xive, Shtraumann 15000 рублей
  • Изготовление индивидуального абатмента на основе из диоксид циркония 15000 рублей
  • Фиксация коронки с опорой на имплант 1500 рублей
  • Фиксация коронки на временный цемент 500 рублей
  • Фиксация коронки на постоянный цемент 1000 рублей
  • Перебазировка протеза 5000 рублей
  • Перебазировка протеза в лаборатории 8000 рублей
  • Армирование протеза литым базисом 7200 рублей
  • Дополнительная приварка 1-го элемента 1500 рублей
  • Бюгельный протез 42000 рублей
  • Замковый бюгельный протез (система BREDENT) 70000 рублей
  • Бюгельный протез 2-х сторонний с замком МК-1 150000 рублей
  • Металлокерамическая коронка промежуточная на имплантат 16000 рублей
  • Металлокерамическая коронка с опорой на имплант с абатментом (премиум) 46000 рублей
  • Керамическая коронка на основе диоксид циркония с опорой на имплант с абатментом 50000 рублей
  • Керамическая коронка на основе диоксид циркония с опорой на имплант с абатментом (премиум) 62000 рублей
  • Диоксидциркониевая коронка промежуточная на имплантат 28000 рублей
  • Съёмный протез на балочной системе 200000 рублей
  • Съёмный протез на аттачментах (2 аттачментах) 60000 рублей
  • Съёмный протез на аттачментах (4 аттачментах) 90000 рублей
  • Протез на телескопической системе на 4-х зубах 120000 рублей
  • Несъемный протез на балочной системе 150000 рублей
  • Металлокерамическая конструкция все на 4-х; все на 6-ти с опорой на имплантах 1 челюсть 450000 рублей
  • Коррекция протеза, изготовленного в другой клинике 2000 рублей
  • Керамическая коронка на основе диоксида циркония с опорой на имплантат с абатментом Dentium (Ю.Корея) ПК 50000 рублей
  • Протез "бабочка" 15000 рублей
  • Металлокерамическая конструкция все на 6-ти с опорой на имплантатах 1 челюсть (без учета стоимости запчастей) 50000 рублей
  • Конструкция из диоксида циркония все на 6-ти с опорой на имплантатах 1 челюсть (без учета стоимости запчастей) 70000 рублей
  • Цельнолитая коронка 13000 рублей
  • Металлокерамическая коронка под ключ. (м/к коронка, временная коронка, слепки, ретракция, анестезия, фиксация, оптрагейт). 26000 рублей
  • Керамическая коронка на основе диоксид циркония под ключ. ( циркониевая коронка, временная коронка, слепки, ретракция, анестезия, фиксация, оптрагейт). 45000 рублей
  • Коронка временная 5000 рублей
  • Металлокерамическая коронка на имплантат Dentium (Ю.Корея) ПК 40000 рублей
  • Керамическая коронка на основе диоксид циркония на имплант Dentium (Ю.Корея) ПК 50000 рублей
  • Керамическая коронка на основе диоксида циркония на имплантат Dentium (Ю.Корея) 50000 рублей
  • Снятие диоксид циркониевой коронки 3000 рублей
  • Мультиюнит 15000 рублей
  • Указанные на сайте цены не являются публичной офертой (ст.435 ГК РФ, ст.437 ГК РФ). Для уточнения стоимости услуг обращайтесь по телефону, указанному на сайте.

Наши специалисты

Смотреть всех

Примеры работ

До лечения
До
После лечения
После
До лечения
До
После лечения
После
До лечения
До
После лечения
После
Смотреть все

Отзывы пациентов

Все отлично

 Берг Калмагоров Берг Калмагоров 01.04.2023

Cмотреть оригинал

Я обратилась к Сергею Николаевичу, по рекомендации. Он внимательно изучил мой случай. К сожалению с моим заболеванием, пришлось удалять все зубы. Операция прошла быстро и очень профессионально. Сейчас челюсть заживает, поставили временный протез. В августе Сергей Николаевич установит мне импланты. И к концу года я буду ходить с голливудской улыбкой.

 Пациентка Пациентка 01.07.2022

Cмотреть оригинал

Удаляли ребёнку 2 молочных зуба. Удаляли первый раз. Всё прошло отлично, спокойная, дружелюбная обстановка. Ребёнок был спокоен, не до, ни во время, ни после не заплакал. Цены приемлемые. Клиника чистая, светлая, есть детский уголок.

Ксения МурКсения Мур 01.07.2022

Cмотреть оригинал

Смотреть все отзывы

Форма связи

Введите ваше имя

Ваш номер телефона